矯正治療
美しい笑顔と健やかな毎日のために
きれいな歯並びと笑顔は皆さんの第一印象にかかわる大切な要素の一つです。
また、噛み合わせは全身の健康とも深くかかわりがあるのです。
歯並びが気になっている方は、いつまでもおいしく食べ、楽しく笑い、健やかに過ごすためにぜひ相談してみてください。
※お子様だけでなく、多くの成人女性の方に来院していただいており、できるだけ短時間で目立たない治療を行うよう配慮いたしております。
※当院は日本矯正歯科認定医が担当いたします。
※当院では、口腔用3次元光学スキャナーとCTを使用し、お口の中を3Dデジタル画像で再現し、シュミレーションを行い、最善の治療計画を最短の治療期間で行えるように診断しております。
こどもの矯正
成長期のお子さんは、永久歯が生えそろってからではできないタイミング治療として骨格の改善を行うことができます。
きちんと噛んで食べるれること・正しい呼吸できることは、お口の健康と脳の発達をも促します。
お子様の歯並びが気になる方は、お早めにご相談ください。
個人の歯並びによりますが、一般的には6~10歳くらいが治療スタートの目安となります。
反対咬合(受け口)や、顎のゆがみが認められる場合は3~6歳くらいから治療をスタートする場合もあります。
こどもの矯正のメリット
顎の成長をコントロールできる
こどもの矯正では成長過程である顎の成長バランスをコントロールすることで、正しい骨格形成を行え、顔だちも整いやすくなるのがメリットです。
永久歯の生えるスペースを確保できる
顎の成長をコントロールすることで永久歯が正しく生えるスペースを作り、将来おとなの矯正に移行する際、歯を抜く可能性が少なくなります。虫歯や歯肉炎を予防
きれいな歯並びになると、ブラッシングがしやすくなり虫歯や歯肉炎のリスクを下げることができます。保護者の方へ
こどもの矯正には個々の骨格や歯並びによって、使用する装置や治療期間が異なってきます。
また、成長段階、永久歯の生え変わり段階であるため、長期にわたり定期的な来院が必要となってくるため、お子さん自身のモチベーションも大切になってきます。
当院では保護者の方だけでなく、お子さん自身の治療に対する理解が得られたうえでの治療開始が大切と考えております。
まずはご気軽にご相談ください。
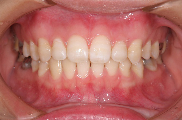
症例1
主訴:上の前歯がガタガタしている
年齢:9歳
診断:上顎前歯の叢生
装置:ブラケット装置(上顎の4前歯と第一大臼歯のみ)
治療期間:6ヶ月(来院回数7回)
抜歯:なし
費用:125,000円+税
・矯正治療装置装着後、多少の違和感や痛みを感じることがあります。
・虫歯と歯肉炎のリスクが高くなり、ブラッシングが大切になります。
・歯根吸収や歯肉退縮をおこすことがあります。
矯正前

矯正後

症例2
主訴:顎が曲がっている
年齢:5歳
診断:上顎狭窄歯列弓に伴う下顎骨左側偏位
装置:上顎拡大床(プレートにて上顎の歯列弓を広げていき、下顎が正常な位置に自然と安定することを目的とする。小児期に下顎偏位を改善するとこで骨格性の偏位になること防止する。)
治療期間:3ヶ月
抜歯:なし
費用:50,000円+税
・矯正治療装置装着後、多少の違和感や痛みを感じることがあります。
・虫歯と歯肉炎のリスクが高くなり、ブラッシングが大切になります。
・歯根吸収や歯肉退縮をおこすことがあります。
矯正前

矯正後

症例3
主訴:下の前歯がガタガタしている
年齢:11歳
診断:下顎前歯の叢生
装置:下顎リンガルアーチ
(リンガルアーチにて永久歯第一大臼歯を固定し、自然萌出交換により叢生の改善)
治療期間:10ヶ月
抜歯:なし
費用:50,000円+税
・矯正治療装置装着後、多少の違和感や痛みを感じることがあります。
・虫歯と歯肉炎のリスクが高くなり、ブラッシングが大切になります。
・歯根吸収や歯肉退縮をおこすことがあります。
リンガルアーチセット時

第二小臼歯萌出後

症例4
症例4
主訴:下の顎が出ている
年齢:7歳
診断:歯槽性反対咬合
装置:上顎舌側弧線装置(上の前歯を舌側からワイヤーにて唇側へ動かす)
治療期間:2ヶ月
抜歯:なし
費用:50,000円+税
・矯正治療装置装着後、多少の違和感や痛みを感じることがあります。
・虫歯と歯肉炎のリスクが高くなり、ブラッシングが大切になります。
・歯根吸収や歯肉退縮をおこすことがあります。
矯正前

矯正後

おとなの矯正
「子どもの頃から歯並びが気になっているのですが、もう遅いですよね?」といった質問をよく受けることがあります。
確かに矯正治療は、小さいお子さんや学生さんがされているイメージがあるかもしれません。しかし、最近では30代~50代の患者さんが大変増えてきています。歯は何歳になっても動きますので、歯槽骨(歯を支える顎の骨)がしっかりしていて、歯の状態が良好な方は年齢に関係なく治療可能です。
また、「若い頃は歯並びがよかったのに、だんだん前歯が出てきた」という方は、歯周病の進行とともに歯が病的に動いて歯並びが乱れてしまった患者さんです。歯周病が進行すると歯槽骨がやせて歯が動きやすくなり、そこに噛む力が加わってくると、歯が少しずつ倒れ、噛み合わせが変化することでしっかり噛んで食べれないという悩みを抱えるようになってしまいます。そういった場合、歯周病の炎症があっては歯を動かせませんので、まず歯周病の治療をしっかりと行い炎症が治癒したところで矯正治療を開始します。
では、矯正治療を行うとどういった変化があるのでしょうか?
まずは、前歯が出ていた方は前歯が引っ込むと口元とあごのラインが改善し、特に横顔の印象が変わります。また、八重歯や、すきっ歯、乱ぐい歯が改善され美しい口元へ変化していきます。よく噛めるようになることで、咀嚼筋や表情筋にも影響をあたえることができます。
次に、お口の機能の改善です。噛み合わせがよくなるとよく咀嚼できるようになり唾液の分泌が促され、歯周病やむし歯のリスクが下がるだけでなく、体の中から若返ることになります。くわえて、噛み合わせの良しあしは歯の寿命へも影響するのです。
矯正は究極のアンチエイジングともいえます。
ブラケットによる矯正
当院では歯と同じ白い装置、ワイヤーを使用しております。
メリット
・発音に対する影響や舌の痛みがほとんどない。
デメリット
・表に装置がつく。
・清掃が難しくなる

マウスピース矯正
透明なマウスピース型の装置を使用する矯正治療。患者さまご自身が取り外しでき、定期的に装置を交換して徐々に歯を動かしていきます。マウスピースの厚みが薄く、透明に近いので、至近距離でも目立たず、矯正中であることが気づかれにくいのが大きな特徴です。
メリット
・薄くて透明な装置なので周囲の人に気づかれにくい。
・食事や歯磨きの際に取り外すことができる。
・ワイヤーやブラケットを装着しないので、発音障害や不快感が少ない。
・金属アレルギーの方も心配なく矯正治療ができる
デメリット
・歯並びや症状によっては治療ができない場合もある。マウスピース矯正には向き不向きがあり、すべてのケースに適応できるわけではありません。
・指定された装着時間(一日あたり20時間程度の装着が必要)を守らないと治療結果に影響を及ぼすことがある。
当院ではマウスピース型矯正歯科装置(インビザライン)を使用しております。
(カスタムメイドの透明なマウスピース型矯正装置の使用の適否は、術者たる歯科医師の責任となります。そのため、矯正診療に関する専門的教育を修めた上で、高度な診断能力、治療技術、経験を有していることが不可欠であり、その治療法の利点・欠点、および代替治療法について、十分な説明する義務があります。
また、マウスピース型矯正装置を希望される患者様も説明を受け、理解された上で、同意されてください。
※マウスピース型矯正歯科装置(インビザライン)は医薬品医療機器等法(薬機法)の承認を受けていない未承認医薬品です。
※マウスピース型矯正歯科装置(インビザライン)は米国アライン・テクノロジー社の製品であり、当院は米国アライン・テクノロジー社のグループ会社である「アライン・テクノロジー・ジャパン株式会社」より入手しています。
※国内にもマウスピース型矯正歯科装置として医薬品医療機器等法(薬機法)の承認を受けているものは複数存在します。
※マウスピース型矯正歯科装置(インビザライン)は1998年にFDA(米国食品医薬品局)により医療機器として認証を受けています。
※マウスピース型矯正歯科装置(インビザライン)は完成物薬機法対象外の矯正歯科装置であり、承認薬品を対象とする医薬品副作用被害救済制度の対象外となる場合があります。

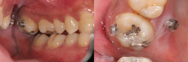
歯科矯正用アンカースクリューを用いた矯正治療
歯科矯正用アンカースクリューを用いた矯正は、小さなアンカースクリューを歯槽骨に埋入し、不動固定として治療が行えるため、治療期間が短縮でき、確実で精度の高い治療結果を得ることができるようになりました。

症例1:叢生
主訴:歯並びを治したい
年齢:20歳
診断:上下顎叢生・上顎骨幅径の狭小
装置:上顎急速拡大装置・上下顎ブラケット装置
治療期間:2年5ヶ月(来院回数29回)
抜歯:左右上下顎小臼歯の4本
費用:750,000円+税
・矯正治療装置装着後、多少の違和感や痛みを感じることがあります。
・虫歯と歯肉炎のリスクが高くなり、ブラッシングが大切になります。
・歯根吸収や歯肉退縮をおこすことがあります。
矯正前

矯正後

症例2:上顎前突
主訴:上の前歯が出ているのが気になる
年齢:25歳
診断:骨格性上顎前突
装置:上下顎ブラケット装置、歯科矯正用アンカースクリュー
治療期間:2年0ヶ月(来院回数24回)
抜歯:左右上下顎小臼歯の4本、上顎大臼歯2本(親知らずを使用)
費用:750,000円+税
・矯正治療装置装着後、多少の違和感や痛みを感じることがあります。
・虫歯と歯肉炎のリスクが高くなり、ブラッシングが大切になります。
・歯根吸収や歯肉退縮をおこすことがあります。
矯正前

矯正後

症例3:下顎前突
主訴:受け口を治したい
年齢:26歳
診断:骨格性下顎前突
装置:上下顎ブラケット装置
治療期間:1年6ヶ月(来院回数18回)
抜歯:無し
費用:750,000円+税
・矯正治療装置装着後、多少の違和感や痛みを感じることがあります。
・虫歯と歯肉炎のリスクが高くなり、ブラッシングが大切になります。
・歯根吸収や歯肉退縮をおこすことがあります。
矯正前

矯正後

症例4:開咬
主訴:前歯で咬めない(顎の手術はしたくない)
年齢:15歳
診断:前歯部開咬、舌突出癖
装置:上下顎ブラケット装置、下顎タングクリブ
治療期間:1年8ヶ月(来院回数20回)
抜歯:無し
費用:750,000円+税
・矯正治療装置装着後、多少の違和感や痛みを感じることがあります。
・虫歯と歯肉炎のリスクが高くなり、ブラッシングが大切になります。
・歯根吸収や歯肉退縮をおこすことがあります。
矯正前

矯正後

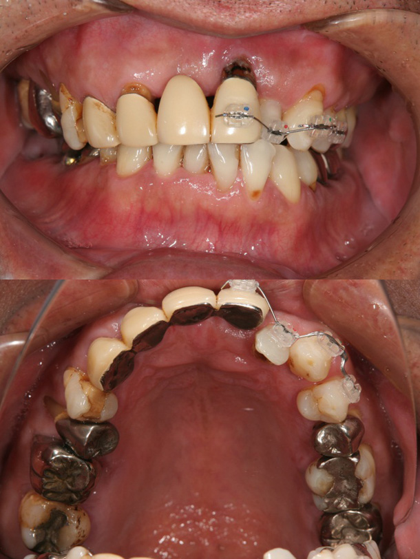
症例5:上顎前突による矯正治療後、上顎前歯部の変色歯をオールセラミッククラウンにて審美修復した症例
主訴:上の前歯が出ているのが気になる
年齢:19歳
診断:骨格性上顎前突、上下顎前歯の唇側傾斜
装置:上下顎ブラケット装置、歯科矯正用アンカースクリュー
治療期間:1年9ヶ月(矯正治療)(来院回数22回)
抜歯:左右上下顎小臼歯の4本
費用:750,000円+税
・矯正治療装置装着後、多少の違和感や痛みを感じることがあります。
・虫歯と歯肉炎のリスクが高くなり、ブラッシングが大切になります。
・歯根吸収や歯肉退縮をおこすことがあります。
矯正前

矯正後

矯正後オールセラミッククラウン

口元の変化

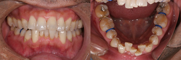
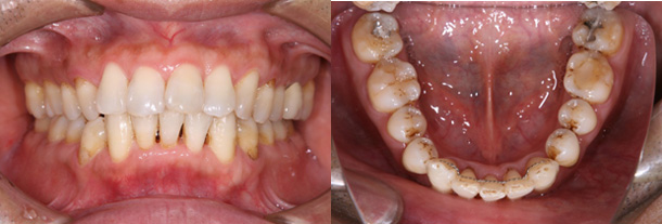
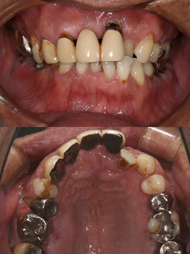
症例6:叢生による矯正治療後、上顎前歯・臼歯部をオールセラミッククラウンにて審美修復した症例
主訴:右下の冠がはずれた、前歯で咬めない
年齢:43歳
診断:上顎前歯酸蝕症による舌側エナメル質欠損、上下顎叢生、臼歯部反対咬合
装置:上下顎ブラケット装置
治療期間:2年1ヶ月(矯正治療)(来院回数24回)
抜歯:右下顎大臼歯の2本(むし歯によ)保存不可のため→インプラント治療を実施)
費用:750,000円+税
・矯正治療装置装着後、多少の違和感や痛みを感じることがあります。
・虫歯と歯肉炎のリスクが高くなり、ブラッシングが大切になります。
・歯根吸収や歯肉退縮をおこすことがあります。
矯正前

矯正後

オールセラミックSET後

口元の変化

部分矯正
全体でなく部分的に矯正を行います。
軽度な不正咬合の症例、被せ物を入れないといけない歯を動かすときなどに行います
症例:傾斜した大臼歯の歯並びを改善し、ブリッジを装着することで咬み合わせを改善
主訴:奥歯が咬みにくい
診断:左側下顎第二大臼歯の近心傾斜
年齢:56歳
装置:下顎部分的ブラケット装置
治療期間:8か月
抜歯:なし
費用:50,000円+税
・矯正治療装置装着後、多少の違和感や痛みを感じることがあります。
・虫歯と歯肉炎のリスクが高くなり、ブラッシングが大切になります。
・歯根吸収や歯肉退縮をおこすことがあります。
矯正前

矯正後

症例:下顎の前歯の叢生のみを改善
主訴:下の前歯のガタガタを治したい
診断:下顎前歯の叢生
年齢:62歳
装置:下顎部分的ブラケット装置
治療期間:6か月
抜歯:下顎前歯の1本
費用:100,000円+税
・矯正治療装置装着後、多少の違和感や痛みを感じることがあります。
・虫歯と歯肉炎のリスクが高くなり、ブラッシングが大切になります。
・歯根吸収や歯肉退縮をおこすことがあります。
矯正前

矯正後

症例:上顎のブリッジが装着できるように歯並びを改善
主訴:上の前歯が腫れた
診断:上顎左側2の舌側転位歯
年齢:58歳
装置:上顎部分的ブラケット装置
治療期間:5か月
抜歯:上顎左側中切歯
費用:60,000円+税
・矯正治療装置装着後、多少の違和感や痛みを感じることがあります。
・虫歯と歯肉炎のリスクが高くなり、ブラッシングが大切になります。
・歯根吸収や歯肉退縮をおこすことがあります。
矯正前

矯正中

矯正後

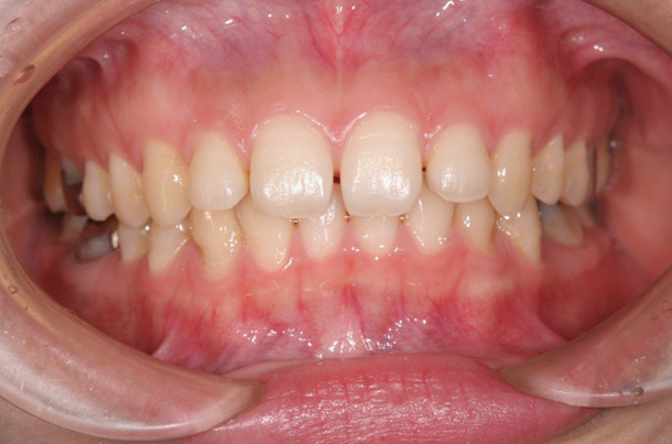
症例:上顎前歯のすき間を改善
主訴:上の前歯のすきっ歯が気になる
診断:上顎の正中離開
年齢:22歳
装置:上顎部分的ブラケット装置
治療期間:5か月
抜歯:なし
費用:100,000円+税
・矯正治療装置装着後、多少の違和感や痛みを感じることがあります。
・虫歯と歯肉炎のリスクが高くなり、ブラッシングが大切になります。
・歯根吸収や歯肉退縮をおこすことがあります。
矯正前

矯正中

矯正後

症例:埋まったままで自然に萌出できない歯を牽引し、咬み合わせを改善
主訴:上の歯がなかなか出てこない
診断:上顎右側第二小臼歯の埋伏
年齢:11歳
装置:上顎部分的ブラケット装置、上顎リンガルアーチ
治療期間:3か月
抜歯:なし
費用:50,000円+税
・矯正治療装置装着後、多少の違和感や痛みを感じることがあります。
・虫歯と歯肉炎のリスクが高くなり、ブラッシングが大切になります。
・歯根吸収や歯肉退縮をおこすことがあります。
矯正前

矯正後

症例:第二大臼歯のすれちがった咬み合わせを改善
主訴:顎が痛い 奥歯が咬んでない
診断:上顎右側第二大臼歯の交叉咬合
年齢:24歳
装置:歯科矯正用アンカースクリュー
治療期間:3か月
抜歯:なし
費用:30,000円+税
・矯正治療装置装着後、多少の違和感や痛みを感じることがあります。
・虫歯と歯肉炎のリスクが高くなり、ブラッシングが大切になります。
・歯根吸収や歯肉退縮をおこすことがあります。
矯正前

矯正後

治療のステップ
STEP 1
治療前(約1ヶ月)
カウンセリング・検査・診断
STEP 2
治療(約1年~2年)
歯を動かす(月1、2回の通院)
STEP 3
保定(約1年~2年)
治療した歯並びを安定させる。(年3、4回の通院)
矯正
当院では、装置装着時から装置装着終了時までの総費用が定額制度(トータルフィー制度)を採用しています。
来院時に毎回処置料がかかったり、矯正終了後に予想していたより治療費がかかるとこはございません。
(毎月の調節料・クリーニング代金込・矯正終了後の保定装置代込)
矯正歯科治療は公的健康保険の対象外の自由(自費)診療となります。
- 相談料
- 無料
- 検査料(レントゲン:CT撮影込,模型,顔面・口腔内写真,口腔内スキャナー)
- 30,000円(税別)
- 診断料(コンピュータ解析・3Dデジタルデータ作成による治療計画立案)
- 20,000円(税別)
- 基本料
子供の時からはじめる場合
1期治療(永久歯に生えかわりの時期)
- 350,000円(税別)(すべての装置代込み)
一般的な治療回数:12回~18回
一般的な治療期間:12ヶ月~18ヶ月
2期治療(永久歯に生えかわり終了後)
- 430,000~500,000円(税別)
一般的な治療回数:12回~24回
一般的な治療期間:12ヶ月~24ヶ月
(2期治療はトータルフィー制度)
大人の場合
装置装着時から装置装着終了時までの総費用が固定の定額制度(トータルフィー制度)を採用しています。
来院時に毎回処置料がかかったり、矯正終了後に予想していたより治療費がかかることはございません。- 780,000~850,000円(税別)
一般的な治療回数:18回~30回
一般的な治療期間:18ヶ月~30ヶ月
(毎月の調整料・クリーニング代金込・矯正終了後の保定装置料込)
(目立たない透明の装置を使用します)
(ご希望があればホワイトワイヤー使用(追加料なし))
1本:5,000円(お薬代込み)
・親知らずの抜歯には保険が適用します。(15歳未満は自費診療)
・歯科矯正用アンカースクリューが必要な際は、別途料金となります。1本10,000円
・当院では透明色のブラケットを使用していますので、従来のメタルブラケットより見た目が気になりません。
・矯正治療は医療費控除の対象となります。
・これらの金額には虫歯の治療費は含まれません。
(医療法人浩生会山田歯科医院 2025年5月1日)
マウスピース矯正
取り外しができる、透明なマウスピース型の装置を使用する矯正治療。検査後、コンピューターシュミレーションを用い治療計画を立案し、数十個のマウスピースを製作します。
定期的にマウスピースを交換することで徐々に歯を動かしていきます。
- 検査料(レントゲン:CT撮影込,模型,顔面・口腔内写真,口腔内スキャナー)
- 30,000円(税別)
- 診断料(コンピュータ解析・3Dデジタルデータ作成による治療計画立案)
- 20,000円(税別)
- マウスピース型矯正装置代・調節代(毎回のクリーニング代金込)
装置装着時から装置装着終了時までの総費用が固定の定額制度(トータルフィー制度) - 全顎矯正 800,000~850,000円(税別)
一般的な治療回数:10回~20回
一般的な治療期間:18ヶ月~24か月
部分矯正 40,000~450,000円(税別)
一般的な治療回数:8回~12回
一般的な治療期間:10ヶ月~12ヶ月
子供の1期治療 400,000円(税別)
一般的な治療回数:8回~12回
一般的な治療期間:12ヶ月~18ヶ月
部分矯正
- 部分矯正は1歯の矯正から複数歯にまで、症例により料金は変更いたします
- 40,000~450,000円(税別)
矯正のリスクと限界
歯科矯正は、歯科医師の正確な診断・技術とともに、患者様の治療に対する知識や協力により、治療期間の短縮・理想的な治療結果が得ることができる治療となってきます。
そのため、患者様が治療開始するにあたり、しっかりと矯正治療における理解をしていただけるように、十分なカウンセリングを行うよう取り組んでいます。
こちらでは歯科治療に伴う一般的なリスクや限界について説明いたします。
痛みや口内炎
矯正装置装着後、個人差はありますが多少の違和感や軽度の痛みを感じる・口内炎ができることがありますが、数日間で慣れるといわれており心配はありません。
虫歯や歯周病
矯正治療中は、ブラッシングが非常に大切になってきます。
当院では、来院毎に衛生士によるブラッシング指導・クリーニング・必要に応じフッ素塗布を行っていきます。
患者様の協力(装置の使用・顎間ゴム・定期的な来院)
患者様自身に装置の取り外し・顎間ゴムを使用などの治療への協力が必要となってくる場合があります。
こういった装置の使用状況や、歯科医師の指示通りの定期的な来院といった患者様の協力が、治療結果や治療期間に大きく影響いたします。
歯や歯肉・顎関節への影響
歯の動き方には個人差がありますので、予想された治療期間より早い場合もあれば、延長を余儀なくされる場合もございます。
歯を動かすことにより歯根吸収歯、歯肉退縮を起こすことがありますが、そういった変化が起こりにくいよう装置を選択し、ゆっくりと優しく歯を動かすように考慮しながら治療を行っていきます。
また、一時的に顎関節症状が出ることがあります。
矯正以前に被せ物や詰め物など歯の修復を行っている場合
矯正前の咬み合わせで製作されているため、矯正終了後にやり直しや微調整が必要になる場合があります。
矯正治療後について
歯は矯正後、元の位置に戻ろうとする傾向があり、必ず保定装置が必要となってきます。
また、顎の成長・加齢による口腔内の変化・親知らずや歯周病による影響などといった様々な要因により、歯並びは変化していきますので、咬み合わせの長期安定のため、定期的な検診が重要となってきます。