審美歯科
歯の美しさで人に与える印象はずいぶん変わります。
歯並びだけではなく、歯の色や形態などの美しさにも焦点をあてた総合的な歯科治療を審美歯科といいます。
もちろん、美しさとともに噛み合わせなどの機能回復も大切に診断した上で、さらに見た目にもこだわるのが審美歯科診療です。
審美治療に使用する方法や材料は数種類あり、患者様の個々の希望をお聞きしたうえで、歯並びや歯の本数、噛む力を考慮し選択していきます。
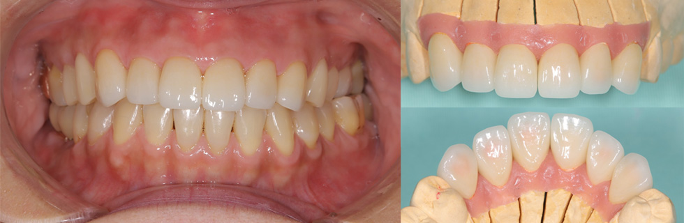
オールセラミッククラウン
金属のベースの無い、セラミックのみで作成。
金属を使用しないために従来のメタルボンドよりも色や透明感はより自然に近いものになります。
また、歯肉に金属の色が出たりする心配がありません。
メリットを活かすため、ファイバーコアでの治療をおすすめしております。

ファイバーコア
かぶぜ物をしっかりするためにかぶせ物の下に土台(コア)をいれます。
これまでは金属の土台しかありませんでしたが、割れたり、歯肉が黒く見えたりする難点がありました。
グラスファイバーコアはしなやかで折れにくく、そして白いというメリットがあります。
グラスファイバーコアを土台に使うことにより、丈夫で歯が割れにくい、そしてオールセラミッククラウンと組み合わせ、より透明感のある白い歯を作ることが可能です。
美しく自然な仕上がり
ファイバーコアポストは歯に似た光の透過性があり、金属製コアのような影ができにくい材料です。歯に似たしなやかさ
ファイバーコアポストは適度なしなやかさがあり、衝撃を吸収することで根を壊しにくく、歯にもやさしい材料です。金属を使わない
コアからクラウン(かぶせもの)まで金属を一切使わず修復できます。
- 金属の色が歯ぐきを透過して黒ずみが見える心配があります。
- 金属製コアはとても硬く、強い力が加わると直接歯の根に力を伝え、根を壊してしまうことがあります。
- 金属アレルギーの心配があります。
- 金額が安価です。
ラミネートベニア
歯の色が悪かったり、歯並びが少し悪かったり、歯の間が少し開いている場合に行う技術です。
歯の表面を少しだけ削り、表面にセラミックを特殊な接着剤で貼り付けます。この方法により歯をきれいに見せることができます。
歯を削る量は最小限ですが、行える症例は限られています。
担当医や衛生士にご相談下さい。
ダイレクトボンディング
セラミックに近い材料を歯の表面に盛り上げる方法です。
透明感・光沢性に優れ、健康な歯をほとんど削る必要もありません。
ガムピーリング(歯肉のメラニン色素除去)
レーザーまたはお薬を用いて歯ぐきの色素沈着を除去し、施術後3~4日後には健康的なピンク色の歯ぐきへ戻ります。
歯の色が美しくても歯ぐきが黒ずんでいると不健康な印象を与えがちです。
健康的な歯ぐきの色は、口元や顔色の印象にも影響するのです。

